List of Pictures:
Damaged for life - by fluoride
How do we describe the terrible images that you are about to see? They acutually speak for themselves. No commentary is needed. You just have to see what larger doses of fluoride can do to the human body
But there is one question: if very high levels of fluoride can do this to a human body, what are smaller does doing over a longer period of time?
The children and adults seen in the following images are obviously restricted in movement, or crippled for life. So how long before you experience some mobility problems? 50 years? 60 years? Something to think about when you come to retire. But why wait until then? This considtion is irreversible. You need to act now.


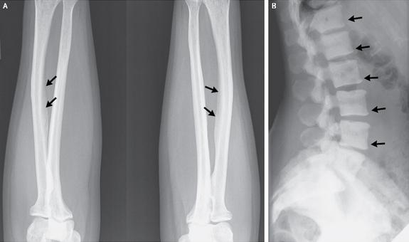
It's not just in India that we see these problems. A 47-year-old U.S. woman developed a bone disease rarely seen in the U.S. after consuming an excessive amount of tea. An x-ray showed calcifications on ligaments (left) and areas of dense bone on the spinal vertebrae (right). Credit: New England Journal of Medicine ©2013.

Time for another cup of tea? Perhaps not

These are but a few examples of what can go wrong when 'fluoride attacks'. It may sound like the 'cheesy' title of a low-budget piece of television, but in this case, it's a very serious issue.
You will never know what changes fluoride is making to your body until it's too late.
Having said this, there are various claims that certain natural foodstuffs can help detoxify the body of fluoride. It's even true that the skeleton remodels itslef numerous times over a period of a lifetime
But any doctor worth their salt will tell you that prevnetion is better than cure. Why risk your future health just because you cannot feel any immediate changes to your body?
It has been said that the best way to poison someone is very slowly. This when damage is done to and you are not aware of it. When you fall seriously ill, it's already too late. And if it's not too late to save your life, it's too late to put back what you have lost - your health.
Think about what you put into your body. lots of us have been there, whetehr it be fatty food, alcohol, medication / addictive drugs, etc. Fluoride is the same. The sisnister thing about fluoride though is that it can 'creep up on you'. While excesses of other substances will give you warning signs, fluoride will not. It's not until you really notice that something is wrong that it could be too late to rectify your fluoride-related health issues.
Hopefully, a salient lesson learned. Have you learned?
On our last page in this section, we shall show you some book covers, along with additional publication information. It may be worth buying a book or two on the subject of fluoride.
As well as our book cover images, check out our Useful Links for any other fluoride-related health issues you may wish to explore.
Also check out our Science pages to get further information on how fluoride affects other parts of the body