List of Pictures:
OK, we discovered the cause of your abdominal discomfort. But have you looked in the mirror recently? Depends how long you've been drinking fluoridated tap-water - and / or taken supplements, etc.
Noticeable yellow / opaque staining on your teeth? Maybey side-effects from long-term antibiotic abuse? Or perhaps you were consuming fluoride as a child? If you can find a honest dentist, and you wnat to know the cause of your disfigurement, he will tell you the truth. But if your dentist is pro-fluoride (everything), then he may wish to skirt around the issue and tell you there is nothing to be worried about.
If it's the latter, listen to the alarm bells going off in your head.
Now, it is said (as it is romantically claimed) that the eyes are the window of the soul. if so, then your teeth are the windows of your bone tissue (not so romantic).
Fluoride is a chemical which which is mostyl attracted to calcium. So your teeth are but a small part of all of your bone tissue. And if the teeth are stained by fluorosis (aka 'fluoride poisoning'), then you need to start wondering what fluoride is doing in the rest of your body.
Bone cancer? Additional (and brittle) bone mass? Perhaps you are getting on a little and feeling arthiritic - perhaps before your time?
What about the rest of your body? Organs? Other soft tissue?
Despite the vague and ill-thought ramblings of the pro-fluoride lobby, fluoride does not magically find it's way ONLY to your teeth. of course, they would'nt say that, but that's what they wuld like you to think.
Exaggeration? Possibly a little. But proponents of fluoride would just like you to think of teeth and nothing else. Ask them about other effects, on other parts of the body, and you will get off-handed, biased, unscientific and condescending remarks stating that you have nothing to worry about. The truth is, a lot of those who promote fluoride have not the first clue what is happening in the rest of your body.
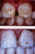
But less about other dangers, for the moment. We want to bring you images of dental fluorosis. They will act as a rough guide to the severity of your condition.
Six types of fluorosis (Source: Fluoride Free, Ireland):






Four pictures of fluorosis (Source: Fluoride: Protected Pollutant or Panacea? Canada):




Five pictures of fluorosis (source: Fluoride Action Network, USA):





Six pictures of fluorosis (source: Provided by Dr Susheela, India):

So that's fluorosis! Now you know! But if you worried about your teeth, it gets worse (see our next page) ...